Servicios Dentales
Ofrecemos atención personalizada y tecnología avanzada para tu salud oral.
Odontología General
En nuestra clínica dental ofrecemos un completo servicio de odontología general, enfocado en la prevención, diagnóstico y tratamiento de las necesidades más comunes de tu salud oral. Nuestro objetivo es brindarte una atención cercana, profesional y personalizada, para que disfrutes de una sonrisa sana y radiante en cada etapa de tu vida..


Ortodoncia
Alinea tu sonrisa, mejora tu confianza 😁✨
La ortodoncia no solo corrige la posición de tus dientes, también mejora tu mordida, tu salud bucal y la armonía de tu rostro. En nuestra clínica diseñamos tratamientos personalizados para que logres una sonrisa funcional, estética y saludable.
Recupera tu sonrisa, conserva tu diente 🦷 Contamos con especialistas en endodoncia que trabajan con equipos de última tecnología para garantizar procedimientos seguros, precisos y sin dolor, devolviéndote la tranquilidad de una boca sana.
Endodoncia










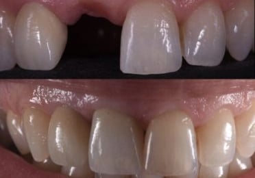
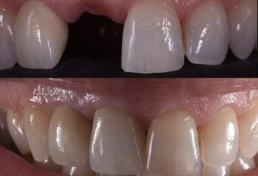
Implantes dentales
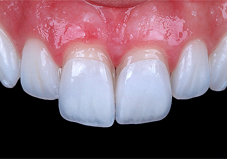
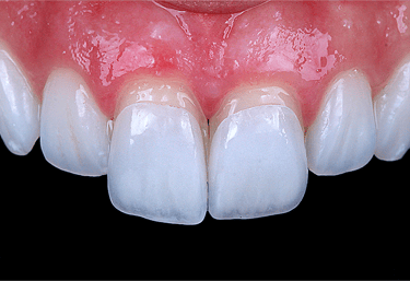
Prótesis dentales biocaracterizadas
Periodoncia
Recupera tu sonrisa con implantes dentales 🦷✨ Los implantes dentales son la solución más segura, estética y duradera para reemplazar dientes perdidos. Con este tratamiento podrás volver a sonreír, hablar y comer con total confianza, disfrutando de una apariencia natural y funcional. Contamos con especialistas en implantología y tecnología avanzada que garantizan resultados precisos y cómodos en cada procedimiento.
Cuida tus encías, protege tu sonrisa 🦷🌿
La salud de tus encías es la base de una sonrisa fuerte y duradera. Nuestro servicio de periodoncia se especializa en la prevención, diagnóstico y tratamiento de las enfermedades de las encías y el hueso que sostiene tus dientes.
Prótesis dentales biocaracterizadas: la sonrisa más natural para ti 🦷✨
Las prótesis dentales biocaracterizadas son la opción ideal para devolver estética, función y comodidad a tu boca, con un acabado tan natural que nadie notará la diferencia. Están diseñadas de manera personalizada, teniendo en cuenta la forma, color y características únicas de tus dientes y encías, para que tu sonrisa luzca auténtica y armoniosa.






Coronas libres de metal
Prótesis flexibles
Carillas
Prótesis dentales flexibles: comodidad y estética en tu sonrisa 🦷✨
Las prótesis dentales flexibles son una solución moderna, ligera y estética para reemplazar dientes ausentes. Gracias a su diseño adaptable, ofrecen una excelente fijación y un acabado natural, brindándote mayor comodidad al hablar, sonreír y masticar.
Coronas libres de metal: estética y resistencia en tu sonrisa 🦷✨
Las coronas libres de metal son la mejor opción para restaurar dientes dañados con una apariencia totalmente natural. Están fabricadas con materiales cerámicos de alta calidad que imitan a la perfección el color y la transparencia de los dientes, logrando una sonrisa armónica, estética y duradera.
Carillas dentales: la sonrisa perfecta que siempre soñaste 😁✨
Las carillas dentales son la solución estética ideal para transformar tu sonrisa en poco tiempo. Corrigen imperfecciones como manchas, fracturas, separación entre dientes o desgastes, logrando un resultado natural, armónico y duradero.
Preguntas Frecuentes
¿Qué servicios ofrecen?
Ofrecemos atención dental integral con tecnología avanzada y un enfoque personalizada, desde odontología general hasta especializada.
¿Cómo es la atención?
Nuestra atención es cálida, profesional y ética, enfocada en tu salud oral y bienestar.
¿Qué tecnología utilizan?
Utilizamos tecnología de vanguardia para garantizar diagnósticos precisos y tratamientos efectivos en un ambiente cómodo.
¿Cuál es su filosofía?
Nuestra filosofía se basa en la ética, profesionalismo y pasión por brindar una experiencia dental excepcional.
¿Cómo agendar una cita?
Puedes agendar una cita a través de nuestro sitio web, llamándonos directamente al consultorio o por nuestra linea de whatsaap.
